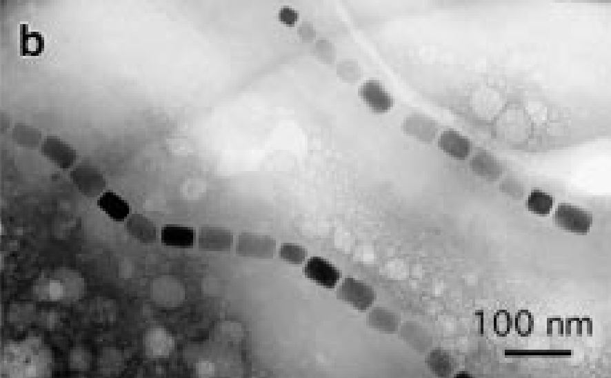
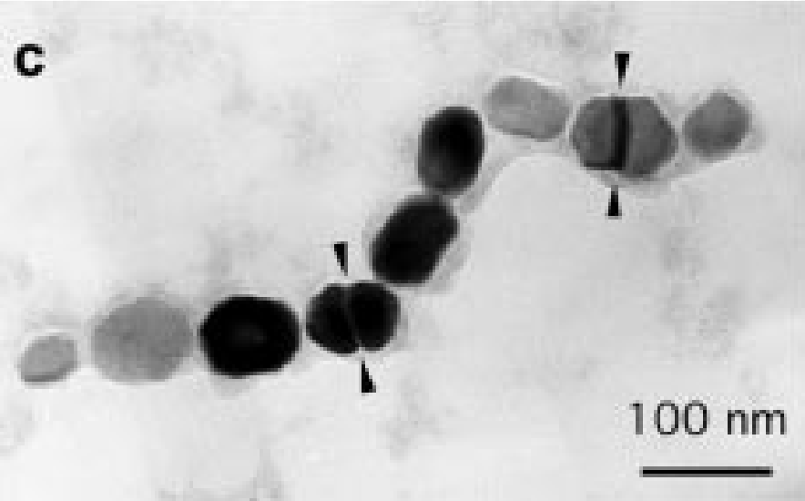
TEM images of magnetosome chains
AMB-1-1.1

AMB-1-12.1

AMB-1-13.1

AMB-1-14.1

AMB-1-2.1

AMB-1-3.1

AMB-1-6.1

BRc

Biflagellate ‘c’
Itaipu1

Itaipu3

MC-1-1.1

MC-1-2.1

MC-1-3.2

MC-1-4.1

MS-1-2.1

MS-1-3.1

MS-1-4.1

MS-1-6.1

MSR-1-10.1

MSR-1-11.1

MSR-1-2.2

MSR-1-3.1

MSR-1-4.2

MSR-1-6.1

MSR-1-9.1

MV-1-10.1

MV-1-2.1

MV-1-3.1

MV-1-4.1

MV-1-5.1

MV-1-6.1

MV-1-9.1

MV-2-1.1
MV-4-1.1

MV-4-2.1

MV-4-3.1

MYC-1

Magnetobacterium bavaricum

Magnetobacterium bavaricum2

NIc

QH-3

RS B

XM-1-2.1

XM-1-2.2

XM-1

References
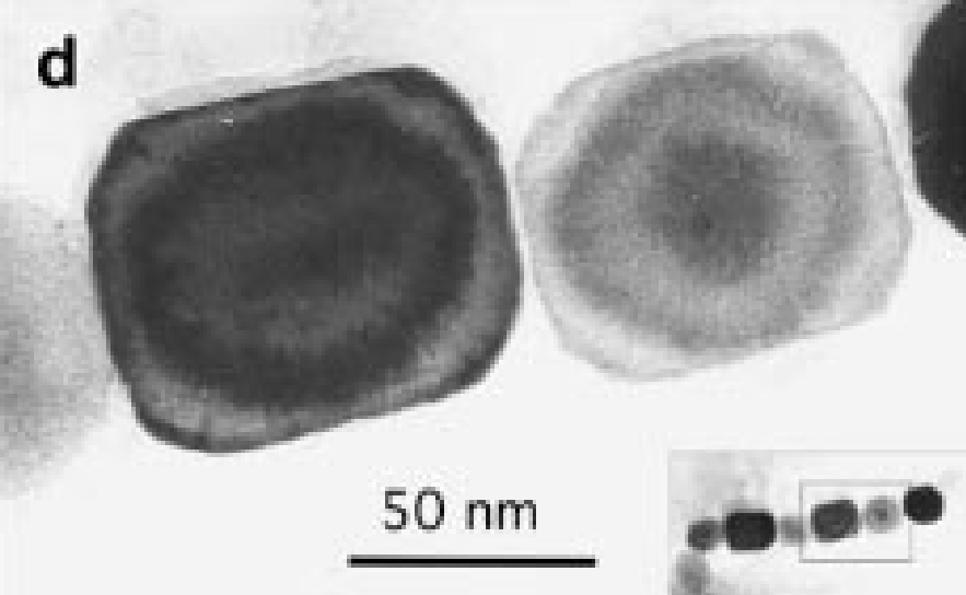
AMB-1
- Alphandéry, E., Ngo, A. T., Lefèvre, C. T., Lisiecki, I., Wu, L. F., & Pileni, M. P. (2008). Difference between the magnetic properties of the magnetotactic bacteria and those of the extracted magnetosomes: Influence of the distance between the chains of magnetosomes. Journal of Physical Chemistry C, 112(32), 12304–12309. https://doi.org/10.1021/jp800408t
- Alphandéry, E., Ding, Y., Ngo, A. T., Wang, Z. L., Wu, L. F., & Pileni, M. P. (2009). Assemblies of aligned magnetotactic bacteria and extracted magnetosomes: What is the main factor responsible for the magnetic anisotropy? ACS Nano, 3(6), 1539–1547. https://doi.org/10.1021/nn900289n
- Amor, M., Busigny, V., Durand-Dubief, M., Tharaud, M., Ona-Nguema, G., Gélabert, A., … Guyot, F. (2015). Chemical signature of magnetotactic bacteria. Proceedings of the National Academy of Sciences, 112(6), 1699–1703. https://doi.org/10.1073/pnas.1414112112
- Fischer, A., Schmitz, M., Aichmayer, B., Fratzl, P., & Faivre, D. (2011). Structural purity of magnetite nanoparticles in magnetotactic bacteria. Journal of The Royal Society Interface, 8(60), 1011–1018. https://doi.org/10.1098/rsif.2010.0576
- Komeili, A., Vali, H., Beveridge, T. J., & Newman, D. K. (2004). Magnetosome vesicles are present before magnetite formation, and MamA is required for their activation. Proceedings of the National Academy of Sciences of the United States of America, 101(11), 3839–3844. https://doi.org/10.1073/pnas.0400391101
- Kopp, R. E., Nash, C. Z., Kobayashi, A., Weiss, B. P., Bazylinski, D. A., & Kirschvink, J. L. (2006). Ferromagnetic resource spectroscopy for assessment of magnetic anisotropy and magnetostatic interactions: A case study of mutant magnetotactic bacteria. Journal of Geophysical Research: Solid Earth, 111(12), 1–15. https://doi.org/10.1029/2006JB004529
- Li, J., & Pan, Y. (2012). Environmental Factors Affect Magnetite Magnetosome Synthesis in Magnetospirillum magneticum AMB-1: Implications for Biologically Controlled Mineralization. Geomicrobiology Journal, 29(4), 362–373. https://doi.org/10.1080/01490451.2011.565401
- Li, J., Pan, Y., Chen, G., Liu, Q., Tian, L., & Lin, W. (2009). Magnetite magnetosome and fragmental chain formation of Magnetospirillum magneticum AMB-1: Transmission electron microscopy and magnetic observations. Geophysical Journal International, 177(1), 33–42. https://doi.org/10.1111/j.1365-246X.2009.04043.x
- Li, J., Pan, Y., Liu, Q., Qin, H., Deng, C., Che, R., & Yang, X. (2010). A comparative study of magnetic properties between whole cells and isolated magnetosomes of Magnetospirillum magneticum AMB-1. Chinese Science Bulletin, 55(1), 38–44. https://doi.org/10.1007/s11434-009-0333-x
- Li, J., & Pan, Y. (2012). Environmental Factors Affect Magnetite Magnetosome Synthesis in Magnetospirillum magneticum AMB-1: Implications for Biologically Controlled Mineralization. Geomicrobiology Journal, 29(4), 362–373. https://doi.org/10.1080/01490451.2011.565401
- Li, J., Menguy, N., Arrio, M.-A., Sainctavit, P., Juhin, A., Wang, Y., Pan, Y. (2016). Controlled cobalt doping in the spinel structure of magnetosome magnetite: new evidences from element- and site-specific X-ray magnetic circular dichroism analyses. Journal of The Royal Society Interface, 13(121), 20160355. https://doi.org/10.1098/rsif.2016.0355
- Prozorov, R., Prozorov, T., Mallapragada, S. K., Narasimhan, B., Williams, T. J., & Bazylinski, D. A. (2007). Magnetic irreversibility and the Verwey transition in nanocrystalline bacterial magnetite. Physical Review B - Condensed Matter and Materials Physics, 76(5), 1–10. https://doi.org/10.1103/PhysRevB.76.054406
- Staniland, S., Williams, W., Telling, N., Van Der Laan, G., Harrison, A., & Ward, B. (2008). Controlled cobalt doping of magnetosomes in vivo. Nature Nanotechnology, 3(3), 158–162. https://doi.org/10.1038/nnano.2008.35
- Timko, M., Dzarova, A., Kovac, J., Skumiel, A., Józefczak, A., Hornowski, T., Tomasovicova, N. (2009). Magnetic properties and heating effect in bacterial magnetic nanoparticles. Journal of Magnetism and Magnetic Materials, 321(10), 1521–1524. https://doi.org/10.1016/j.jmmm.2009.02.077
- Popa, R., Fang, W., Nealson, K. H., Souza-Egipsy, V., Berqú, T. S., Banerje, S. K., & Penn, L. R. (2009). Effect of oxidative stress on the growth of magnetic particles in Magnetospirillum magneticum. International Microbiology, 12(1), 49–57. https://doi.org/10.2436/20.1501.01.81
Bavaricum
- Hanzlik, M., Winklhofer, M., & Petersen, N. (1996). Spatial arrangement of chains of magnetosomes in magnetotactic bacteria. Earth and Planetary Science Letters, 145(1–4), 125–134. https://doi.org/10.1016/S0012-821X(96)00191-4
- Mao, X., Egli, R., Petersen, N., Hanzlik, M., & Liu, X. (2014). Magneto-chemotaxis in sediment: First insights. PLoS ONE, 9(7). https://doi.org/10.1371/journal.pone.0102810
Biflagellate
- Moskowitz, B. M., Bazylinski, D. A., Egli, R., Frankel, R. B., & Edwards, K. J. (2008). Magnetic properties of marine magnetotactic bacteria in a seasonally stratified pond (Salt Pond, MA, USA). Geophysical Journal International, 174, 75–92. https://doi.org/10.1128/AEM.70.10.6230-6239.2004
Itapu
- Abraçado, L. G., Abreu, F., Keim, C. N., Campos, A. P. C., Lins, U., & Farina, M. (2010). Magnetosome chain superstructure in uncultured magnetotactic bacteria. Physical Biology, 7(4), 046016. https://doi.org/10.1088/1478-3975/7/4/046016
- Lins, U., McCartney, M. R., Farina, M., Frankel, R. B., & Buseck, P. R. (2005). Habits of magnetosome crystals in coccoid magnetotactic bacteria. Applied and Environmental Microbiology, 71(8), 4902–4905. https://doi.org/10.1128/AEM.71.8.4902-4905.2005
BR-C, NIc
- Abraçado, L. G., Abreu, F., Keim, C. N., Campos, A. P. C., Lins, U., & Farina, M. (2010). Magnetosome chain superstructure in uncultured magnetotactic bacteria. Physical Biology, 7(4), 046016. https://doi.org/10.1088/1478-3975/7/4/046016
MC-1
- Devouard, B., Pósfai, M., Hua, X., Bazylinski, D. A., Frankel, R. B., & Buseck, P. R. (1998). Magnetite from magnetotactic bacteria: Size distributions and twinning. American Mineralogist, 83(11–12 PART 2), 1387–1398. https://doi.org/0003004X
- Faivre, D., & Schuler, D. (2008). Magnetotactic Bacteria and Magnetosomes. Chemical Reviews, 108, 4875–4898.
- Meldrum, F. C., Mann, S., Heywood, B. R., Frankel, R. B., & Bazylinski, D. A. (1993). Electron Microscopy Study of Magnetosomes in Two Cultured Vibrioid Magnetotactic Bacteria. Proceedings of the Royal Society B: Biological Sciences, 251(1332), 237–242. https://doi.org/10.1098/rspb.1993.0035
- Prozorov, R., Prozorov, T., Mallapragada, S. K., Narasimhan, B., Williams, T. J., & Bazylinski, D. A. (2007). Magnetic irreversibility and the Verwey transition in nanocrystalline bacterial magnetite. Physical Review B - Condensed Matter and Materials Physics, 76(5), 1–10. https://doi.org/10.1103/PhysRevB.76.054406
MMS-1
Prozorov, R., Prozorov, T., Mallapragada, S. K., Narasimhan, B., Williams, T. J., & Bazylinski, D. A. (2007). Magnetic irreversibility and the Verwey transition in nanocrystalline bacterial magnetite. Physical Review B - Condensed Matter and Materials Physics, 76(5), 1–10. https://doi.org/10.1103/PhysRevB.76.054406
MS-1
- Dunin-Borkowski, R. E., McCartney, M. R., Pósfai, M., Frankel, R. B., Bazylinski, D. a., & Buseck, P. R. (2001). Off-axis electron holography of magnetotactic bacteria: magnetic microstructure of strains MV-1 and MS-1. European Journal of Mineralogy, 13(4), 671–684. https://doi.org/10.1127/0935-1221/2001/0013-0671
- Faivre, D., & Schuler, D. (2008). Magnetotactic Bacteria and Magnetosomes. Chemical Reviews, 108, 4875–4898.
- Frankel, R. B., Blakemore, R. P., & Wolfe, R. S. (1979). Magnetite in Freshwater Magnetotactic Bacteria. Science, 203(4387), 1355–1356. https://doi.org/10.1126/science.203.4387.1355
- Kobayashi, A., Kirschvink, J. L., Nash, C. Z., Kopp, R. E., Sauer, D. A., Bertani, L. E., … Taguchi, T. (2006). Experimental observation of magnetosome chain collapse in magnetotactic bacteria: Sedimentological, paleomagnetic, and evolutionary implications. Earth and Planetary Science Letters, 245(3–4), 538–550. https://doi.org/10.1016/j.epsl.2006.03.041
- Staniland, S., Williams, W., Telling, N., Van Der Laan, G., Harrison, A., & Ward, B. (2008). Controlled cobalt doping of magnetosomes in vivo. Nature Nanotechnology, 3(3), 158–162. https://doi.org/10.1038/nnano.2008.35
- Frankel, R. B. (2011). Magnetotactic Bacteria Photo Gallery. http://www.calpoly.edu/~rfrankel/mtbphoto.html
MSR-1
- Bäuerlein, E. (2003). Biomineralization of unicellular organisms: An unusual membrane biochemistry for the production of inorganic nano- and microstructures. Angewandte Chemie - International Edition, 42(6), 614–641. https://doi.org/10.1002/anie.200390176
- Fischer, A., Schmitz, M., Aichmayer, B., Fratzl, P., & Faivre, D. (2011). Structural purity of magnetite nanoparticles in magnetotactic bacteria. Journal of The Royal Society Interface, 8(60), 1011–1018. https://doi.org/10.1098/rsif.2010.0576
- Lang, C., & Schüler, D. (2006). Biogenic nanoparticles: production, characterization, and application of bacterial magnetosomes. Journal of Physics: Condensed Matter, 18(38), S2815–S2828. https://doi.org/10.1088/0953-8984/18/38/S19
- Pósfai, M., Moskowitz, B. M., Arató, B., Schüler, D., Flies, C., Bazylinski, D. A., & Frankel, R. B. (2006). Properties of intracellular magnetite crystals produced by Desulfovibrio magneticus strain RS-1. Earth and Planetary Science Letters, 249(3–4), 444–455. https://doi.org/10.1016/j.epsl.2006.06.036
- Scheffel, A., Gruska, M., Faivre, D., Linaroudis, A., Plitzko, J. M., & Schüler, D. (2006). An acidic protein aligns magnetosomes along a filamentous structure in magnetotactic bacteria. Nature, 440(7080), 110–114. https://doi.org/10.1038/nature04382
- Scheffel, A., Gärdes, A., Grünberg, K., Wanner, G., & Schüler, D. (2008). The major magnetosome proteins MamGFDC are not essential for magnetite biomineralization in Magnetospirillum gryphiswaldense but regulate the size of magnetosome crystals. Journal of Bacteriology, 190(1), 377–386. https://doi.org/10.1128/JB.01371-07
- Schüler, D., & Frankel, R. B. (1999). Bacterial magnetosomes: Microbiology, biomineralization and biotechnological applications. Applied Microbiology and Biotechnology, 52(4), 464–473. https://doi.org/10.1007/s002530051547
- Staniland, S., Ward, B., Harrison, A., van der Laan, G., & Telling, N. (2007). Rapid magnetosome formation shown by real-time x-ray magnetic circular dichroism. Proceedings of the National Academy of Sciences, 104(49), 19524–19528. https://doi.org/10.1073/pnas.0704879104
- Staniland, S., Williams, W., Telling, N., Van Der Laan, G., Harrison, A., & Ward, B. (2008). Controlled cobalt doping of magnetosomes in vivo. Nature Nanotechnology, 3(3), 158–162. https://doi.org/10.1038/nnano.2008.35
- Xiang, L., Wei, J., Jianbo, S., Guili, W., Feng, G., & Ying, L. (2007). Purified and sterilized magnetosomes from Magnetospirillum gryphiswaldense MSR-1 were not toxic to mouse fibroblasts in vitro. Letters in Applied Microbiology, 45(1), 75–81. https://doi.org/10.1111/j.1472-765X.2007.02143.x
- Katzmann, E., Eibauer, M., Lin, W., Pan, Y., Plitzko, J. M., & Schüler, D. (2013). Analysis of Magnetosome Chains in Magnetotactic Bacteria by. Applied and Environmental Microbiology, 79(24), 7755–7762. https://doi.org/10.1128/AEM.02143-13
MV-1
- Buseck, P. R., Dunin-Borkowski, R. E., Devouard, B., Frankel, R. B., McCartney, M. R., Midgley, P. A., … Weyland, M. (2001). Magnetite morphology and life on Mars. Proceedings of the National Academy of Sciences, 98(24), 13490–13495. https://doi.org/10.1073/pnas.241387898
- Devouard, B., Pósfai, M., Hua, X., Bazylinski, D. A., Frankel, R. B., & Buseck, P. R. (1998). Magnetite from magnetotactic bacteria: Size distributions and twinning. American Mineralogist, 83(11–12 PART 2), 1387–1398. https://doi.org/0003004X
- Dunin-Borkowski, R. E. (1998). Magnetic Microstructure of Magnetotactic Bacteria by Electron Holography. Science, 282(5395), 1868–1870. https://doi.org/10.1126/science.282.5395.1868
- Dunin-Borkowski, R. E., McCartney, M. R., Pósfai, M., Frankel, R. B., Bazylinski, D. a., & Buseck, P. R. (2001). Off-axis electron holography of magnetotactic bacteria: magnetic microstructure of strains MV-1 and MS-1. European Journal of Mineralogy, 13(4), 671–684. https://doi.org/10.1127/0935-1221/2001/0013-0671
- Faivre, D., & Schüler, D. (2008). Magnetotactic Bacteria and Magnetosomes. Chemical Reviews, 108, 4875–4898.
- Hanzlik, M., Winklhofer, M., & Petersen, N. (2002). Pulsed-field-remanence measurements on individual magnetotactic bacteria. Journal of Magnetism and Magnetic Materials, 248(2), 258–267. https://doi.org/10.1016/S0304-8853(02)00353-0
- Jovane, L., Florindo, F., Bazylinski, D. A., & Lins, U. (2012). Prismatic magnetite magnetosomes from cultivated Magnetovibrio blakemorei strain MV-1: A magnetic fingerprint in marine sediments? Environmental Microbiology Reports, 4(6), 664–668. https://doi.org/10.1111/1758-2229.12000
- Kopp, R. E., Weiss, B. P., Maloof, A. C., Vali, H., Nash, C. Z., & Kirschvink, J. L. (2006). Chains, clumps, and strings: Magnetofossil taphonomy with ferromagnetic resonance spectroscopy. Earth and Planetary Science Letters, 247(1–2), 10–25. https://doi.org/10.1016/j.epsl.2006.05.001
- Prozorov, R., Prozorov, T., Mallapragada, S. K., Narasimhan, B., Williams, T. J., & Bazylinski, D. A. (2007). Magnetic irreversibility and the Verwey transition in nanocrystalline bacterial magnetite. Physical Review B - Condensed Matter and Materials Physics, 76(5), 1–10. https://doi.org/10.1103/PhysRevB.76.054406
- Frankel, R. B. (2011). Magnetotactic Bacteria Photo Gallery. http://www.calpoly.edu/~rfrankel/mtbphoto.html
MV-2
- Meldrum, F. C., Mann, S., Heywood, B. R., Frankel, R. B., & Bazylinski, D. A. (1993). Electron Microscopy Study of Magnetosomes in Two Cultured Vibrioid Magnetotactic Bacteria. Proceedings of the Royal Society B: Biological Sciences, 251(1332), 237–242. https://doi.org/10.1098/rspb.1993.0035
MV-4
- Bazylinski, D. A., & Frankel, R. B. (2004). Magnetosome formation in prokaryotes. Nature Reviews Microbiology, 2(3), 217–230. https://doi.org/10.1038/nrmicro842
- Devouard, B., Pósfai, M., Hua, X., Bazylinski, D. A., Frankel, R. B., & Buseck, P. R. (1998). Magnetite from magnetotactic bacteria: Size distributions and twinning. American Mineralogist, 83(11–12 PART 2), 1387–1398. https://doi.org/0003004X
- Meldrum, F. C., Mann, S., Heywood, B. R., Frankel, R. B., & Bazylinski, D. A. (1993). Electron Microscopy Study of Magnetosomes in Two Cultured Vibrioid Magnetotactic Bacteria. Proceedings of the Royal Society B: Biological Sciences, 251(1332), 237–242. https://doi.org/10.1098/rspb.1993.0035
MYC-1
- Pan, Y., Lin, W., Tian, L., Zhu, R., & Petersen, N. (2009). Combined approaches for characterization of an uncultivated magnetotactic coccus from Lake Miyun near Beijing. Geomicrobiology Journal, 26(5), 313–320. https://doi.org/10.1080/01490450902748633
QH-3
- Zhou, K., Pan, H., Yue, H. D., Xiao, T., & Wu, L. F. (2010). Architecture of flagellar apparatus of marine magnetotactic cocci from Qingdao. Reports, 34(12), 17–25. https://doi.org/10.7541/2015.121
RS-B
- Isambert, A., Menguy, N., Larquet, E., Guyot, F., & Valet, J. P. (2007). Transmission electron microscopy study of magnetites in a freshwater population of magnetotactic bacteria. American Mineralogist, 92(4), 621–630. https://doi.org/10.2138/am.2007.2278
XM-1
- Wang, Y., Lin, W., Li, J., Zhang, T., Li, Y., Tian, J., … Pan, Y. (2015). Characterizing and optimizing magnetosome production of Magnetospirillum sp. XM-1 isolated from Xi’an City Moat, China. FEMS Microbiology Letters, 362(21), 1–8. https://doi.org/10.1093/femsle/fnv167